Mūsu paveiktie darbi
Pirms ārstēšanas
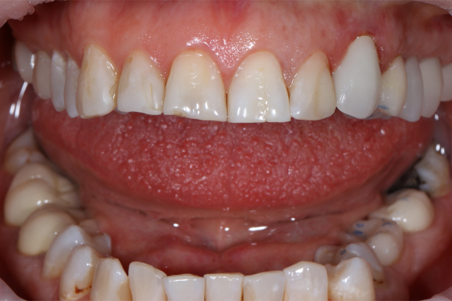
Pēc pārvērtībām
Pilna smaida rehabilitācija, kas ietvēra sakodiena korekciju, kā arī keramikas kroņu un venīru uzstādīšanu.
Pirms ārstēšanas
Pēc pārvērtībām
Smaida rehabilitācija, kas ietvēra keramikas kroņu un venīru uzstādīšanu.
Mūsu paveiktie darbi
Pirms ārstēšanas
Pēc pārvērtībām
Pilna smaida rehabilitācija, kas ietvēra sakodiena korekciju, kā arī keramikas kroņu un venīru uzstādīšanu.
Pirms ārstēšanas
Pēc pārvērtībām
Smaida rehabilitācija, kas ietvēra keramikas kroņu un venīru uzstādīšanu.
- Lācplēša iela 54
- Google maps
- +371 26444567
- riga@abdental.lv
- riga@abdental.lv
- Pirmdiena - Piektdiena: 08:30-19:30
- Sestdiena: Slēgts
- Svētdiena: Slēgts
Jūs laipni sagaidīs
-
Oļesja
Aiva un Inga
- Dalieties ar savu pieredzi un novērtējiet mūs Google platformā!
- + Dalies pieredzē
Vistuvāk klīnikai transportlīdzekli var novietot Lāčplēša ielā (B zona), kā arī autostāvvietās Lāčplēša ielā 57 (L57 zona) un Lāčplēša ielā 63 (L63 zona). Ērtākai un ātrākai autostāvvietas apmaksai iesakām izmantot Mobilly lietotni.
Lai tiktu pagalmā, kurā atrodas klīnika, lūdzu izmantojiet kodu 7727#.
- Pededzes iela 10
- Google maps
- +371 25747434
- +371 27887893
- marupe@abdental.lv
- Pirmdiena - Piektdiena: 09:00-19:00
- Sestdiena: 10:00-18:00
- Svētdiena: Slēgts
Jūs laipni sagaidīs
-
Aiva -
Inga
- Dalieties ar savu pieredzi un novērtējiet mūs Google platformā!
- + Dalies pieredzē
Transportlīdzekli varat novietot Mārupes Doktorāta autostāvvietā (MUR zona) bez maksas.
Novietojot transportlīdzekli, uzsāciet apmaksas procesu ar SMS vai Mobilly lietotni, un ienākot klīnikā, nekavējoties paziņojiet pacientu reģistratorei sava transportlīdzekļa reģistrācijas numuru. Mēs aktivizēsim bezmaksas laiku.
Siltajā laikā velosipēdu varat atstāt speciālā novietnē pretī Mārupes Doktorāta durvīm. Lūdzu pārliecinieties, ka pieslēdzāt velosipēdu ar slēdzeni.
- Pirmdiena - Piektdiena: 09:00-19:00
- Sestdiena: 10:00-18:00
- Svētdiena: Slēgts
- Rīga
- Mārupe
-
-
Pededzes iela 10, ‘Mārupes Doktorāts’ ēka
-
Raksti WhatsApp lietotnē
- marupe@abdental.lv
- Pirmdiena - Piektdiena: 09:00-19:00
- Sestdiena: 10:00-18:00
- Svētdiena: Slēgts
-
-
-
Lācplēša iela 54-21
- +371 26444567
-
Raksti WhatsApp lietotnē
- riga@abdental.lv
- Pirmdiena - Piektdiena: 08:30-19:30
- Sestdiena: Slēgts
- Svētdiena: Slēgts
-
- Jūsu novērtējumsir mūsu iedvesmas un izaugsmes avots
- Dalieties ar savu pieredzi un novērtējiet mūs Google platformā!
- + Dalies pieredzē
-
Jūsu novērtējumsir mūsu iedvesmas un izaugsmes avots
- Dalieties ar savu pieredzi un novērtējiet mūs Google platformā!
- + Dalies pieredzē
- ALGORITMS L SIA
- Reģistrācijas numurs: 42102026314
- Ārstniecības iestādes kods: 170064506
- Privātuma politika
-
Liepājas filiāle

