Our dental work
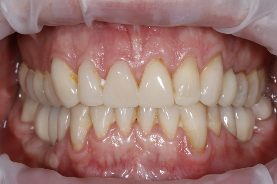
Before treatment
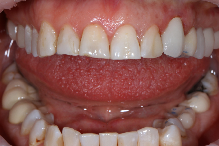
After the transformation
Pilna smaida rehabilitācija, kas ietvēra sakodiena korekciju, kā arī keramikas kroņu un venīru uzstādīšanu.
Before treatment
After the transformation
Smaida rehabilitācija, kas ietvēra keramikas kroņu un venīru uzstādīšanu.
Our dental work
Before treatment
After the transformation
Pilna smaida rehabilitācija, kas ietvēra sakodiena korekciju, kā arī keramikas kroņu un venīru uzstādīšanu.
Before treatment
After the transformation
Smaida rehabilitācija, kas ietvēra keramikas kroņu un venīru uzstādīšanu.
- Lācplēša iela 54
- Google maps
- +371 26444567
- riga@abdental.lv
- riga@abdental.lv
- Monday - Friday: 08:30-19:30
- Saturday: Closed
- Sunday: Closed
Hospitality team
-
Oļesja
Aiva un Inga
- Share with your favourite people and the world!
- + Add a review
Parking possibilities: along Lāčplēša street (B zone) and parking lots at 57 and 63 Lāčplēša street (Zones L57 and L63 respectively). For convenient payment choose Mobilly mobile app.
Please use a code 7727# for entrance into yard.
- Pededzes iela 10
- Google maps
- +371 25747434
- +371 27887893
- marupe@abdental.lv
- Monday - Friday: 09:00-19:00
- Saturday: 10:00-18:00
- Sunday: Closed
Hospitality team
-
Aiva -
Inga
- Share with your favourite people and the world!
- + Add a review
There’s free parking for one hour right outside the practice.
- Monday - Friday: 09:00-19:00
- Saturday: 10:00-18:00
- Sunday: Closed
- Rīga
- Mārupe
-
-
Branch in Pededze street
-
DM in WhatsApp
- marupe@abdental.lv
- Monday - Friday: 09:00-19:00
- Saturday: 10:00-18:00
- Sunday: Closed
-
-
-
Branch in Lacplesa street
- +371 26444567
-
DM in WhatsApp
- riga@abdental.lv
- Monday - Friday: 08:30-19:30
- Saturday: Slēgts
- Sunday: Closed
-
-
We are passionate about creating and crafting rich and meaningful experience.
- Share with your favourite people and the world!
- + Add a review
-
We are passionate about creating and crafting rich and meaningful experience.
- Share with your favourite people and the world!
- + Add a review
- ALGORITMS L SIA
- Registration No.: 42102026314
- Dental practice No.: 170064506
- Privacy and cookies
-
To Liepāja branch

